Skip to main content

Gallery

Welcome to our before and after dental work images, where we are proud to showcase the transformative power of our expert dental services in Fort Worth, TX.

At our clinic, we believe in providing the highest quality care and achieving exceptional results for all our patients. Our gallery is a testament to the remarkable changes that can be accomplished through skilled dental work.

One of the most compelling aspects of our practice is the dramatic dental transformations. These images vividly illustrate the profound impact that professional dental care can have on a person’s appearance and self-confidence. From teeth whitening and veneers to orthodontics and dental implants, our gallery highlights a wide range of procedures that showcase the effectiveness of our treatments.

Our dental work before and after photos demonstrate the meticulous attention to detail and artistry that our team brings to each case. Whether it’s correcting misaligned teeth, filling gaps, or restoring damaged enamel, these visual records provide clear evidence of our commitment to excellence. Each transformation is unique, reflecting the personalized approach we take with every patient to ensure their specific needs and goals are met.

When you browse through our dental work before and after gallery, you’ll see the remarkable difference that professional care can make. Patients who once felt self-conscious about their smiles now beam with confidence. These photos are not just about aesthetics; they represent improved oral health and overall well-being. Proper dental care can prevent future issues and maintain long-term health, as well as enhance your smile’s appearance.

Our gallery also serves as an educational tool, offering insights into the various treatments available and their potential outcomes. If you are considering a specific procedure, our dental work before and after images can help you understand what to expect and the kind of results you might achieve. It’s a visual journey that underscores the importance of choosing a skilled and experienced dental team.

This dental work before and after gallery is more than just a collection of photos. It is a showcase of our dedication to transforming lives through exceptional dental care. We invite you to explore these images and see for yourself the incredible changes that are possible. Each smile you see is a testament to our expertise, passion, and commitment to our patients’ happiness and health. Thank you for visiting our gallery, and we look forward to being a part of your journey to a brighter, healthier smile.

Glance through our photos to learn more and call 817-926-5556 to schedule a consultation with our dentist and team if you are interested in our care.

Dental Work Before and After Gallery

Composite Fillings

Visit our Dental Fillings page to learn more.

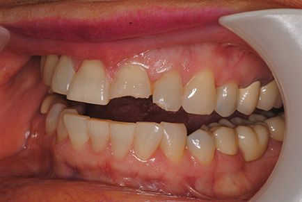
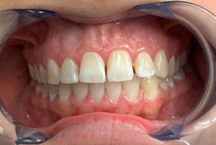
Before

Dental Work Before and After - Composite Fillings

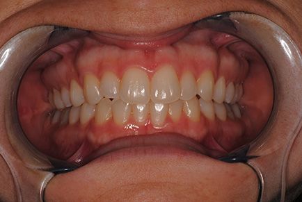
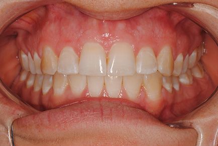
After

Dental Work Before and After - Composite Fillings

Invisalign®

Visitour Invisalign page to learn more.

Before

Dental Work Before and After - Invisalign

After

Dental Work Before and After - Invisalign

Veneers/Crowns

Visit our Dental Veneers page to learn more.

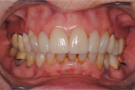
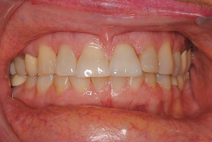
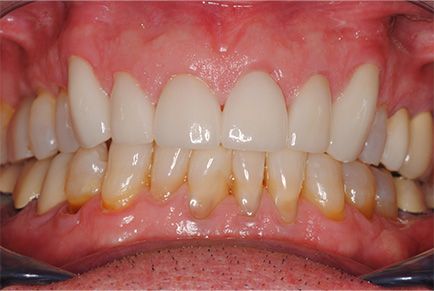
Before

Dental Work Before and After - Veneers Crowns

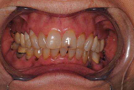
Before

Before

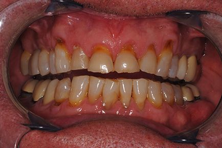
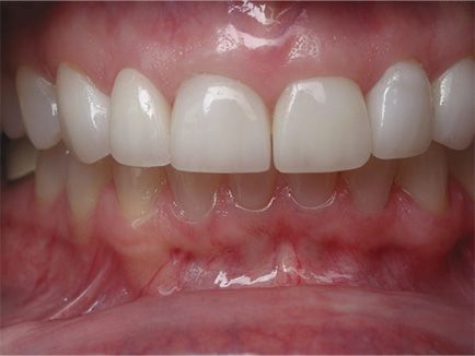
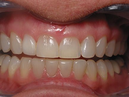
After

Dental Work Before and After - Veneers Crowns

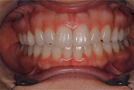
After

After

Whitening

Visit our Teeth Whitening page to learn more.

Before

Before

After

After