Skip to main content

Dental Veneers

Dental veneers have emerged as a popular and effective cosmetic solution for individuals seeking to address minor imperfections in their smiles.

Designed to conceal and correct various dental imperfections, veneers are thin, custom-made shells typically crafted from porcelain or composite materials. These shells are meticulously bonded to the front surface of teeth, effectively masking flaws such as chips, gaps, and discolorations. This cosmetic treatment is especially ideal for those who aspire to enhance the natural beauty of their smiles without resorting to invasive procedures.

One of the notable advantages of veneers is their versatility. Whether you have a single chipped tooth or several gaps between your teeth, veneers can be tailored to meet your specific needs. Dr. Mark Givan's expertise ensures that each veneer is precisely designed to blend seamlessly with the rest of your natural teeth, creating a harmonious and aesthetically pleasing result.

The process of getting veneers typically involves an initial consultation, during which Dr. Givan will assess your dental health and discuss your cosmetic goals. Subsequently, a small amount of enamel is gently removed from the tooth's surface to accommodate the veneer. Impressions of your teeth are then taken to create custom veneers that fit snugly and look entirely natural.

Patients can enjoy not only an enhanced appearance but also improved self-confidence. The durability of veneers allows individuals to indulge in their favorite foods and maintain regular oral hygiene practices without concern. With proper care,  veneers can last for many years, making them a long-lasting and worthwhile investment in achieving a radiant and flawless smile.

If you have small flaws in your smile, such as chipped or gapped teeth, give us a call at 817-926-5556 to schedule an appointment at our Fort Worth office!

Before & After Gallery

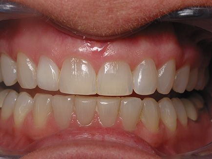
Before 01

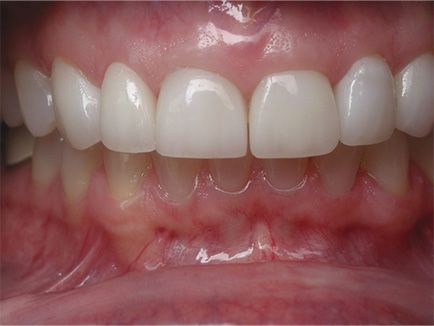
dental veneers after

After 01

Before 02

dental veneers after

After 02

Before 03

dental veneers after

After 03

Dental Veneers FAQ

-- click on a heading below to expand that section --

What are dental veneers?

Dental veneers are typically made of porcelain or composite resin, that are custom designed to cover the front surface of teeth. They are used to improve the appearance of teeth by addressing issues such as discoloration, stains, chips, or misalignment.

How long do dental veneers last?

The lifespan of dental veneers can vary. Proper oral hygiene practices, regular dental check-ups, and avoiding habits like teeth grinding can contribute to the longevity of veneers.

Do dental veneers require special care?

While dental veneers are durable, they do require proper care to maintain their appearance and longevity. It's important to practice good oral hygiene, including regular brushing and flossing, and to avoid habits that can damage veneers, such as biting on hard objects or using teeth as tools. Regular dental check-ups are also crucial for monitoring the condition of the veneers.

Can anyone get dental veneers?

Dental veneers are a suitable option for many people, but not everyone is an ideal candidate. Good candidates typically have healthy teeth and gums, and they may choose veneers to address cosmetic concerns. Individuals with significant dental issues, such as active gum disease or severe tooth decay, may need to address these concerns before considering veneers. Additionally, the dentist will assess factors such as bite alignment and tooth structure to determine the suitability of veneers for everyone.

Testimonials

"Dr. Givan is the best. He has an awesome team and they all do the best work. I will always be a patient of Dr. Givan!"

"These guys are awesome! Dr. Givan have been practicing for many years and it shows. His team are knowledgeable and accommodating. Clean and comfortable atmosphere."

"Dr. Givan is the best. He has an awesome team and they all do the best work. I will always be a patient of Dr. Givan!"


Hours

Monday 8:00 a.m. - 2:00 p.m.
Tuesday 8:00 a.m. - 5:00 p.m.*
Wednesday 7:00 a.m. - 3:00 p.m.
Thursday 7:00 a.m. - 3:00 p.m.
Friday Closed
Saturday Closed
Sunday Closed

*Lunch 1:00 p.m. - 3:00 p.m.